1
  • 56 10 37 46 35 Agende su cita
  • 55 60 76 65 11 Agende su cita
  • cenoftalmointegral@gmail.com

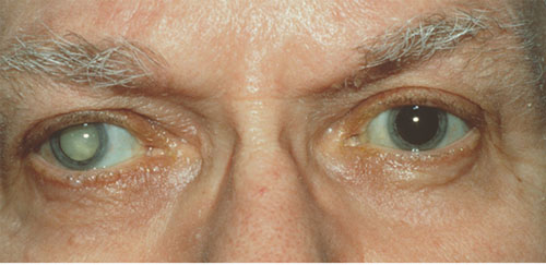
Es la opacidad del cristalino que funge como lente natural del hombre, ocasionando visión borrosa, dificultad para leer y visión de lejos. Es la primera causa de ceguera reversible en el mundo.

Causas

Existen factores, aparte de la edad, que pueden anticipar la aparición de cataratas. Un golpe, una punción, un corte, el calor intenso o una quemadura causada por agentes químicos son factores que puede lesionar el cristalino dando lugar a una catarata traumática.

Hay algunas creencias erróneas. Por ejemplo, las cataratas no aparecen por un uso excesivo de la vista, ni por forzarla. Pero sí es cierto que algunas profesiones están más vinculadas a su aparición. Es el caso de los sopladores de vidrio. Las personas que se dedican a hacer cristales, están expuestos a altas temperaturas además de mirar continuamente la luz del horno. Estos profesionales desarrollan cataratas antes de lo normal. De este modo, parece haber una relación directa entre la exposición a la luz intensa y el desarrollo de cataratas. Sin embargo, deportes como el esquí, no implican riesgos. Además existen protecciones como las gafas de sol, que evitan el daño ocular.

Otro factor de riesgo es que la madre haya padecido rubeola durante el embarazo ya que puede infectar al feto y que desarrolle este tipo de cataratas. Sin embargo, es muy extraño que esto suceda, ya que hoy en día no es habitual que una madre contraiga esta enfermedad con los métodos preventivos con los que se cuentan.


Existen enfermedades o condiciones que también propician la aparición de cataratas:

  • La diabetes.
  • La inflamación de ojos.
  • Tener antecedentes familiares.
  • El uso prolongado de corticosteroides u otros medicamentos.
  • Frecuente exposición a la radiación.
  • El tabaquismo.
  • Haber sido intervenido quirúrgicamente por otro problema ocular.


  • Síntomas

    Según el tamaño y la localización de las áreas de opacidad del cristalino, una persona puede o no darse cuenta de que está desarrollando una catarata. Por ejemplo, si ésta se localiza en el borde externo de la lente, la vista no sufre cambios; pero si la opacidad está situada cerca del centro de la lente, generalmente interfiere con la visión. A medida que las cataratas aumentan, la visión puede hacerse más borrosa. Esta disminución de la agudeza visual es uno de los síntomas más claros y típicos en las personas que están desarrollando una catarata.

    Los ojos pueden tener una mayor sensibilidad a la luz dificultando la conducción. También se produce una alteración en la percepción de los colores. Y en muchos casos se puede llegar a producir una diplopía (visión doble en el ojo en el que se está produciendo la catarata). Aunque nadie se libra de padecer cataratas, hay personas que tienen mayor predisposición. Los miopes y los diabéticos son grupos de riego a contraer cataratas a una edad más temprana. Existe también un tipo de catarata congénita que la desarrollan los bebés.